第12回
Carcinomas(腫瘍)
a.
SQUAMOUS CELL CARCINOMA(扁平上皮癌)
・skin cancer(皮膚癌)
・lung cancer(肺癌)
・esophageal cancer(食道癌)
・cervical cancer(子宮頸癌)
b.
ADNOCARCINOMA(腺癌)
・lung cancer(肺癌)
・colon cancer(大腸癌)
・stomach cancer(胃癌)
・prostate cancer(前立腺癌)
・endometrial cancer(子宮内膜癌)
c.
TRANSITIONAL CELL CARCINOMA(移行上皮癌)
・urinary bladder cancer(膀胱癌)
・renal cancer (renal pelvis)(腎盂癌)
d.
CLEAR CELL CARCINOMA(淡明細胞癌)
・renal cancer (renal cortex)(腎細胞癌)
・vaginal cancer(associated with DES)(膣癌)
e. SIGNET CELL
CALCINOMA(印環細胞癌)----->Stomach cancer
[解説および参考資料]
扁平上皮癌 (SCC)
扁平上皮由来の癌あるいは扁平上皮に類似した形態をとる癌.
組織学的特徴:
1. 角化 keratinization
2. 細胞間橋 intercellular bridgeの形成
3. シート状配列 sheet-like arrangement
角化が著明な場合は癌真珠, cancer pearlの形成が見られます.この場合は高分化であると考えられます.シート状配列の腫瘍塊中心部にしばしば壊死(中心壊死, central necrosis)がみられます.角化が見られず,基底細胞類似の小型異型細胞のみからなる場合は基底細胞癌(basal cell carcinoma)とよばれます.発生部位は上記以外にも,口腔,膀胱,胃,胆嚢・胆道などが知られている.SCCの特徴に欠け,確定診断がつけにくい場合は,かなり困難を感じます.
PAS染色やCEAなどで除外診断を考えます.また,cytokeratin陽性で,特に高分子keratin(keratin 1, 2, 5,14)の染色態度で判断可能になります.いずれの特徴にもかける場合は,未分化癌に分類することになります.
腺癌 (adenocarcinoma)
腺上皮(立方上皮,円柱上皮)由来の癌.
組織学的特徴:
1. 腺腔(腺管)構造 glandular structure
2. 粘液産生 mucin
production
腺腔構造:
1.乳頭状(papillary), 2.管状(tubular),3.腺房状(acinar),4.濾胞状(follicular),5.篩状(cribriform)
腺管構造を示さない構築:
1.索状(trabecular,
cord-like),2.髄様(medullary) or 充実性(solid),3.硬性(scirrhus)
粘液産生が著明な場合:
1.粘液細胞性 mucocellular,2.印環細胞癌
signet ring cell,3.粘液結節性 muconodular,4.粘液湖
mucous lake
乳頭状腺癌 papillary adenocarcinoma,管状腺癌 tubular adenocarcinomaなどと使いますが,甲状腺癌では,乳頭癌 papillary carcinoma,乳癌では,管状癌 tubular carcinomaといいます.
PAS陽性や腫瘍マーカーではCEA, cytokeratin, EMAなどが陽性を示します.
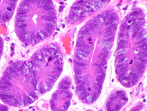
[参考画像]
a.
b. 
c
d. 
e.
f. 
a.食道扁平上皮癌(高分化型),b.結腸癌(高分化腺癌)、c.尿管癌(移行上皮癌),d.胃癌(印環細胞癌),e.膵癌(淡明細胞癌,粘液産生型),f.胃癌(腺癌,淡明細胞型)
[演習問題]
扁平上皮癌の発生頻度の高い部位はどれか.
a. 皮膚
b. 副鼻腔
c. 子宮頸部
d. 卵巣
e. 食道
f. 肝臓
正解:a.b.c.e.