第3回(その1)
Cell death [細胞死] その1
a. APOPTOSIS アポトーシス
1.Characteristics
・“programmed” cell death プログラムされた細胞死
・single cells (not large
groups of cells) 単細胞性の変化
・cells shrink細胞の萎縮----> form apoptotic bodies アポトーシス小体形成
・gene activation遺伝子活性化----> forms endonucleases エンドヌクレアーゼ形成1)
・peripheral condensation of chromation with
DNA ladder
・
(前版ではこの項目があった.---condensation of chromatin クロマチンの濃縮)
・
no inflammatory response 炎症反応はみられない.
2.Mechanisms/phases
a. initiation
phase(開始相)--->caspases are activated(カスパーゼの活性化がおこる)
b. execution
phase(実行相)--->cell
death occurs(細胞死がおこる)
two
distinct pathways
(i) extrinsic(外因性) --->receptor-mediated pathway(リセプターを介する経路)
mediated by cell surface death
receptors--->type 1 TNF receptor(YNFR1) and Fas(CD95)
(ii) intrinsic (or mitochondrial) pathway(内因性あるいはミトコンドリアの経路)
increased permeability of mitchondria--->example
is cytochrome c released into cytoplasm via Bax channels
3.Examples
of apoptosis (アポトーシスの実例):
1. physiologic(生理学的例)
・involution of thymus(胸腺皮質内でおこるT細胞のセレクション)
・cell death within
germinal centers of lymph nodes(リンパ濾胞の胚中心での細胞死)
・fragmentation of endometrium during menses(月経時の内膜剥離)
・lactating breast during
weaning(離乳時の乳汁分泌乳腺)
2. Pathologic(病理学的例)
・viral hepatitis(ウイルス性肝炎)
・cytotoxic T-cell-mediated immune destruction (type IV hypersensitivity;4型過敏症)
1)エンドヌクレアーゼ形成:プロテアーゼの一種にカスパーゼがある.カスパーゼはアポトーシスとの関連性が知られ,エフェクタカスパーゼの基質内に活性化されたエンドヌクレアーゼがみられ, DNAの断片化をきたす.
[解説および参考資料]
*apoptosisアポトーシス:
apo(離れる)+ ptosis(下降)の造語
falling offに近い意味です.それで,枯死とも翻訳されます.
1972年にKerr,Wyllie等が死細胞の形態を詳細に検討しそれまでいわれていた病的細胞死とは異なるものを見つけ,apoptosisと名づけました.programed cell death(予定された細胞死)として研究されてきたこともあって,しばしば混同されていますが,生化学的機序が異なるといわれやや異なった現象であるとする立場もあります.
アポトーシスは本来,形態的な特徴によって名づけられたものです.上記にはその特徴の一部が記されてあります.apoptotic bodies(アポトーシス小体)とは,細胞質内小器官の特徴が保たれたまま核が凝集,断片化し,それが,マクロファージに貪食されたものです.
この小体の中にはほぼ正常のミトコンドリアも見られます.壊死では,まずミトコンドリアが最初に障害されることが多いのと比較するとこの特異さがわかります.
p53は癌抑制活性とともに他の分子との協調により発癌活性をも有する遺伝子です.正常型p53の発現亢進は細胞周期をG1で止め,その結果,アポトーシスが生じることが最近わかってきたそうです.
また,アポトーシスを抑制する機能分子としてbcl-2遺伝子(癌遺伝子)が知られています.このbcl-2蛋白質は血液細胞や神経細胞の核膜やミトコンドリアや小胞体に存在し,アポトーシスを抑制する機能を有することが明らかになっています.
[参考画像] アポトーシスの主経路
Wikipedia [apoptosis]より
http://ja.wikipedia.org/wiki/アポトーシス
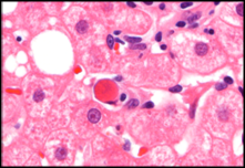
a.
b. 
a. 大腸腺管腺腫でみられたアポトーシス. b. 急性ウイルス性肝炎(B型肝炎)でみられた好酸体.
[演習問題]
アポトーシスに関して正しい内容はどれか.
a. 周囲に炎症反応を伴わない.
b. 単細胞の変化である.
c. アポトーシス誘導にp53が関連する.
d. bcl-2の抑制作用はミトコンドリアを介している.
e. 胸腺内でのBリンパ球成熟機構に重要な働きをする.
正解:a.b.c.d