第 39 回
37.HYPERSENSITIVITY REACTIONS 超過敏反応;数々のアレルギー反応の特徴
(一部筆者加筆)
[重要用語]
TYPE I
・binding of antigen to previously formed lgE
bound to mast cells and basophils
肥満細胞,好塩基球のFcレセプターに結合したIgEにアレルゲンが結合する.
・release of histamine and leukotrienes C4
and D4
ヒスタミン,ロイコトリエンC4, D4の放出
・urticaria(hives)蕁麻疹
・anaphylaxis アナフィラキシー
TYPE II
・antibody (IgG or IgM)binds to antigens in situ
細菌,細胞に特異的に結合した抗体IgG,IgMに補体の第1成分C1qが結合
・cells destroyed by complement or cytotoxic
cells(antibody‐dependent cell‐mediated cytotoxicity)補体,NK細胞などによって細胞膜に穴があけられる.
・linear immunofluorescence (IF) 線状の免疫蛍光反応
・transfusion reactions 不適合輸血
TYPE III
・antibody (IgG or lgM)binds to antigens
forming immune complexes
責任因子は免疫複合体
・granular lF 顆粒状の免疫蛍光反応
・systemic→serum sickness(血清病)
・local reaction→Arthus reaction(アルサス反応)
TYPE IV
1.delayed-type hypersensivity(遅延型過敏症)
・CD4 lymphocytes
・extrinsic antigen associated with class II MHC (外因性抗原)
・formation of activated with macrophages (epithelioid
cells類上皮細胞)→granulomas(肉芽腫)
・PPD skin test−−−精製ツベルクリン(Purified Protein Derivative)皮膚試験
・contact dermatitis(poison ivy, poison oak)(接触性皮膚炎)
2.cell‐mediated immunity(細胞介在免疫)
・CD8 lymphocytes
・intrinsic antigen associated with class I MHC(内因性抗原)
・viral infections and transplant rejection ウイルス感染および移植拒絶反応
[解説および参考資料]
*本シリーズの主参考書である標準病理学(第4版)の総論5,免疫,p104が参考になります.
数々のアレルギー反応
|
免疫反応の基本型 |
関連重要項目 |
責任因子 |
抗原 |
|
I型(アナフィラキシー型) |
肥満細胞/好塩基球 メディエーター,平滑筋収縮・外分泌亢進・血管拡張・透過性亢進 |
IgE, IgG |
外来抗原(花粉成分,薬物,異種蛋白など) |
|
II型(細胞傷害型) |
・C5b6789→補体依存性細胞障害; ・MK→ADCC; ・Mφ→オプソニン効果,ADMC |
IgM,IgG IgG IgG |
バクテリア,移植細胞,腫瘍細胞,ウイルス感染細胞,赤血球,血小板,基底膜など |
|
III型(免疫複合体型) |
アルサス反応型/血清病型 ・血管基底膜沈着 ・C3a, C5a→アナフィラキシー;C5a→白血球趨化 ・血小板→微小血栓,メディエータ(血管拡張,透過性亢進) ・好塩基球→PAF→血小板 |
免疫複合体 |
・外来性抗原(バクテリア成分,異種蛋白,ウイルスなど), ・内因性抗原(種々の自己タンパク質,核酸) |
|
IV型(遅延型) |
TH細胞−サイトカイン−Mφ, NK, Tc→標的細胞の破壊,肉芽腫 形成 |
TH細胞,Tc細胞,NK細胞,細胞活性化マクロファージ |
外来性抗原(結核菌,真菌など),ウイルス感染細胞,移植細胞,腫瘍細胞,自己細胞 |
|
V型(刺激型) (バセドウ病) |
ホルモンレセプター,シグナル伝達 |
IgG |
ホルモンレセプター |
|
Type |
代表的疾患 |
|
I |
|
|
II |
自己免疫性溶血性貧血(AIHA)、不適合輸血、特発性血小板減少性紫斑病(ITP)、悪性貧血、リウマチ熱、グッドパスチャー症候群,重症筋無力症、橋本病、円形脱毛症 |
|
III |
血清病、全身性エリテマトーデス(ループス腎炎)、急性糸球体腎炎、関節リウマチ、過敏性肺臓炎、リウマチ性肺炎、多発性動脈炎、アレルギー性血管炎、シェーグレン症候群 |
|
IV |
接触性皮膚炎(いわゆる「ウルシかぶれ」は「アレルギー性接触皮膚炎」の一種である。)ツベルクリン反応、移植免疫、腫瘍免疫、シェーグレン症候群、感染アレルギー、薬剤性肺炎、ギラン・バレー症候群 |
|
V |
バセドウ病 |
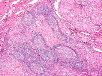
[参考画像]
a.
b.
c.
d.
e.
a.気管支喘息,b.橋本病,c.ループス腎炎,d.結核結節,e.バセドウ病
[演習問題]
免疫複合体が責任因子となるアレルギー反応はどれか.
a.Type I 型
b.Type II型
c.Type III型
d.Type IV型
e.Type V型
正解:c