放射線科(腫瘍部門)
責任者・診療科長 中松 清志
診察している特殊(専門)疾患
- 前立腺癌、頭頚部癌など
IMRT(強度変調放射線治療)を含む、高精度放射線治療
- 早期肺癌
SRTを含む高精度放射線治療
- 頭頚部、子宮癌など
手術や化学療法と放射線治療の組み合わせによる、治癒率の向上、切除率の向上、縮小手術の可能性の向上、強度変調放射線治療(IMRT)による合併症の低減
- 乳癌
乳房温存療法後の予防照射
- 子宮癌
放射線治療
- 緩和医療
がんの骨転移、神経浸潤などに対する疼痛制御、麻痺の予防など。薬物による制御が困難な場合でも放射線治療で改善する場合があります。当院放射線科までお気軽にお問い合わせください。
- 放射線同位元素(RI)内用療法(放射性医薬品を内服、または注射します)
- 適応疾患
前立腺がんの骨転移(ラジウム223;注射)
甲状腺がん、甲状腺機能亢進症(ヨウ素131;内服)
悪性リンパ腫(イットリウム90;注射)
神経内分泌腫瘍(ルテチウム177; 注射)(※2024年4月現在準備中)
外来診療日一覧
〇…初診・再診とも診療 □…初診のみ診察 △…再診(予約)のみ診察 ― …休診
診療スタッフ
| 担当医師名 |
専門分野 |
専門医資格等 |
准教授、診療部長 中松 清志
|
放射線腫瘍学 |
日本医学放射線学会放射線科専門医 |
医学部講師 大熊 康央
|
放射線腫瘍学 |
日本医学放射線学会放射線治療専門医・研修指導者、核医学会専門医・PET核医学認定医、臨床研修指導医、検診マンモグラフィ読影認定医、肺がんCT検診認定医師、博士(医学)、修士(工学) |
医学部講師 井上 恵理
|
放射線腫瘍学 |
日本医学放射線学会放射線科専門医、日本医学放射線学会放射線治療専門医、検診マンモグラフィ読影認定医、日本乳癌学会認定医、核医学会専門医・PET核医学認定医、臨床研修指導医 |
専攻医 馬場 創
|
放射線腫瘍学 |
― |
手術・症例件数実績
| 科目 |
内容 |
件数(1~12月) |
| 2024年 |
2025年 機器更新 |
| 外部照射 |
頭頚部 |
26 |
7 |
| 肺 |
97 |
56 |
| 乳腺 |
104 |
33 |
| 食道 |
10 |
4 |
| 直腸 |
3 |
5 |
| 前立腺 |
27 |
33 |
| 婦人科腫瘍 |
8 |
1 |
| 造血器腫瘍 |
10 |
12 |
| そのほか |
43 |
51 |
| (計) |
327 |
217 |
| うち、強度変調放射線治療 |
53 |
66 |
| 定位照射 |
29 |
37 |
| 全身照射 |
2 |
0 |
| 外部照射 |
I-131内用療法等 |
2 |
4 |
| Ra-223内用療法等 |
4 |
2 |
| Lu-177 (PRRT) |
3 |
30 |
| Lu-177 (PSMA) |
0 |
1 |
トピック
検査機器について
直線加速器リニアック(varian社、True Beam)
2025年7月から放射線治療装置が刷新!導入された技術とは。
刷新された新装置: True Beam(Varian社)
1.奈良県内初導入!Hyper Arc 〜多発脳転移でも同時にピンポイント照射〜
多発脳転移のような頭蓋内の複数ターゲットに対しても同時にピンポイント照射(定位照射)が行えるシステムです。(治療時間は1回20分程度、治療回数は1〜5回程度)
Hyper Arc治療計画
2.奈良県内初導入!ExacTrac Dynamic 〜精度はサブミリの領域に。治療中のわずかなズレをリアルタイムで検出〜
放射線治療中の患者さんの体の位置やわずかな動きを、体表面スキャン、赤外線カメラによる熱分布とX線画像を組み合わせてリアルタイムに0.1mm単位でズレを検出します。この機能の導入により皮膚にマーカーを描くことなく精密で再現性のある治療が可能となりました。
ExacTrac Dynamic
3.呼吸性移動対策 〜動く腫瘍も正確に射抜く〜
肺や肝臓など、呼吸により動きやすい腫瘍の位置ズレを把握できるシステムが搭載され、呼吸のタイミングに合わせて照射する「呼吸同期照射」や「息止め照射」が可能になりました。
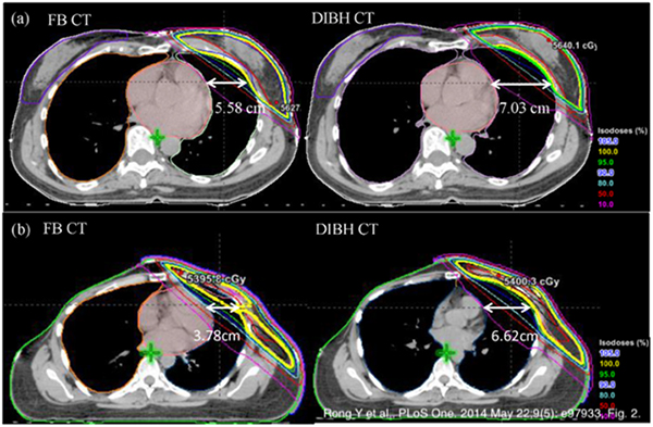
4.ひだり乳房深吸気息止め照射(DIBH) 〜ひだり乳がんの治療で「心臓を守る」〜
ひだり乳がんの放射線治療では、心臓被ばくにより治療後数年から心血管疾患発症リスクが増加するとの研究報告があります。そのため、深く息を吸って心臓を遠ざけた状態(Deep Inspiration Breath Hold)での放射線照射も可能になります。
DIBH治療計画
放射線治療の話題 1 定位放射線治療について
- 定位放射線治療とは、小さい範囲に放射線を多方向から集中させる治療です。
保険適応:脳腫瘍、原発性肺がん、肝がん、腎がん、前立腺がん、膵がん, および転移性肺腫瘍、肝腫瘍
- 身体に優しいので高齢者に可能な場合も多く、手術に匹敵する効果を示すことも珍しくありません。(90歳代後半の方にも安全に行いました。)
- 図は肺腫瘍に対する体幹部定位放射線治療の1例
図1:6方向から細いX線ビームを
腫瘍に集中させています。
図2:放射線の分布図
(赤い部が高線量の領域)
図3. 定位照射後の変化の一例(〇は肺がん)
図4.小さな骨転移に対する定位放射線治療
図5.骨盤内リンパ節転移に対する定位放射線治療
放射線治療の話題 2 強度変調放射線治療(IMRT:Intensity Modulated Radiation Therapy)について
- 強度変調放射線治療は、従来の放射線照射方法より柔軟に照射する領域・形状をコントロールできる照射技術を用いた治療方法です。
これにより、正常組織への放射線照射を抑えることができ、合併症のリスクが低下します。
- 照射対象と正常組織・臓器が近接する疾患でよく用いられます。
例:頭頚部がん 前立腺がん など
- 当院では年間80-90件、実施しています。
- 左画像は中咽頭がんに対して行われたIMRTの放射線の分布を表したものです。
- 放射線を治療対象である咽頭およびリンパ節へ照射する一方で、耳下腺および口腔、脊髄への被ばくを低減しています。
放射線治療の話題 3 集学的治療について
集学的治療とは、手術や化学療法と組み合わせて、治療効果を高めるとともに手術侵襲や放射線量を低減することです。当院では、乳腺腫瘍カンファレンス、頭頚部腫瘍カンファレンス、胸部腫瘍カンファレンスなどによって、各領域の専門家が相談して方針を決定するシステムをとっています。
代表的な例
- 乳がんにおける乳房温存療法:がんの部分だけを取り除き、残存する乳房に放射線治療を行う治療です。治療効果は大きな手術と同等で、美容的には優れているので標準治療のひとつです。
- 頭頚部腫瘍(咽頭がんなど)における縮小手術と、化学放射線治療:手術単独あるいは放射線治療単独であれば、効果に限界があるうえに大きな合併症を残す場合が多いです。近年は治療を組み合わせることが必須です。
- 肺がん:手術のみで不十分な場合、リンパ節腫大がある場合、あるいは2つめの肺がんの場合など、組み合わせる治療が有効です。
- 前立腺癌:比較的リスクの高いがんであってもホルモン治療と組み合わせることで良好な成績が得られています。
- 悪性リンパ腫:特にホジキンリンパ腫の場合、化学療法も放射線治療も合併症が問題となっていましたが、近年ではより少ない化学療法、量の少ない放射線治療を組み合わせることが標準です。
- 全身放射線治療:白血病など全身の造血器腫瘍細胞を放射線と薬剤により根絶やしにする治療です。骨髄移植を前提とします。
放射線治療施設間の連携について
下記技術を要する症例は適する施設への紹介する場合もあります。
- 粒子線治療が適する疾患(小児腫瘍、直腸がん再発、骨腫瘍など)
放射線治療の話題 4 放射線治療を用いた緩和治療について
腫瘍増大による諸症状の解消、改善、予防を目的とした治療です。症状により緊急で最短1回の照射も可能です。
見込まれる効果
- 骨転移による痛みの緩和、骨折予防。
- 脊髄圧迫による麻痺の予防。
- 食道、気道、血管狭窄による諸症状の改善。
- 腫瘍増大による出血の緩和。など
図は肋骨転移への照射症例。照射後徐々に疼痛が収まり骨もできています。

核医学治療:放射線同位元素(RI)内用療法
放射性医薬品を内服や注射し、薬剤から放出される放射線で病変の近くから照射する方法です。
適応疾患
- 前立腺がんの骨転移:
- ラジウム223という物質が含まれる薬剤を注射します。ラジウムは骨転移巣でカルシウムの代わりに代謝され、薬剤から放出されるα線で腫瘍細胞を減らします。通院治療が可能です。
- ルテチウム177を含む薬剤(プルヴィクト)を注射し、腫瘍細胞近傍からβ線を照射します。前立腺がん骨転移のほか臓器転移にも適応があります。(2025年10月現在準備中)
- 甲状腺がん、甲状腺機能亢進症:ヨウ素131が含まれるカプセルを内服し甲状腺のヨウ素代謝を利用して甲状腺組織を破壊します。通院治療が可能です。
- 悪性リンパ腫:イットリウム90という物質が含まれる薬剤を注射します。入院が必要です。(2025年10月時点供給停止中)
- 神経内分泌腫瘍:ルテチウム177 という物質が含まれる薬剤を注射します。最短2泊の入院が必要です。(2024年10月から開始しました)

ノバルティスファーマの資料より(許可を得て掲載しています)
診療科長から一言
放射線治療は21世紀になって急速に進歩しました。それは画像医学と照射技術の革命的な発展によるところが強調されています。
当院では昨年最新鋭の治療装置が導入され高精度放射線治療がより効率的に行えるようになりました。
しかし本当に進歩したのは機械や技術のことではなく、ご本人の健康と人生にとって何が大切か考える過程です。放射線治療においては、手術などとの最適な組み合わせ、侵襲が少ない治療の探求、科学的根拠に基づく治療、などを通してご本人の人生に寄与する方法を模索しております。
中松 清志