角膜疾患
角膜
角膜は、一般の方が「黒目」と呼んでいる部分で、眼球の一番表面に位置する透明な組織です(図1)。黒目と呼ばれるのは、角膜よりも奥にある組織が、透明な角膜を通して黒く見えるためです。角膜は、外側から順に「上皮細胞層」「ボーマン膜」「実質」「デスメ膜」「内皮細胞層」の5層から成っています(図2)。また、角膜は中央を頂点として、全体的にゆるやかに彎曲 しています(図3)。角膜中央部の厚みは、約0.5mmです。 角膜を構成する5層のうち、いずれの層が障害されても、視力は低下します。より深い層まで障害されればされるほど、治癒後に瘢痕 という白い混濁 が残り、永続的な視力障害の原因となります。また、病気により、角膜の彎曲の程度が変化したり、厚みが変化しても、視力は低下します。

図1 正面から撮影した眼の写真:黄色の点線で囲った部分が角膜です。

図2 角膜の構造:5つの層で構成されています。

図3 角膜の断面図(前眼部OCT像):矢印で示すように、角膜は中央を頂点として全体的に彎曲しています。
水疱性角膜症
- 1. はじめに
- 角膜内皮細胞には、角膜の水分量を調節する機能があります。角膜内皮細胞密度は、正常で2500~3000個/mm²程度とされていますが、病気や手術により角膜内皮細胞密度は減少します。一般的に500個/mm²よりも減少すると、水疱性角膜症を発症するとされています。
- 2. 症状
- 水疱性角膜症(図4)では、角膜の水分量が増加することにより角膜の厚みが増加し、角膜が全体的に白く濁るため、かすみや視力低下が出現します。さらに進行すると、角膜上皮下に水ぶくれ(水疱)が形成され、まばたきなどの少しの力が加わるだけでも水疱が破れるため、眼に痛みを感じるようになります。
図4 水疱性角膜症
- 3. 治療
- 角膜内皮細胞は一旦減少すると再生しません。視力回復のためには角膜内皮細胞を移植する必要があります。 当院では、本疾患に対して、全層角膜移植術(PKP)、角膜内皮移植術(DSAEK)、デスメ膜内皮移植術(DMEK)を実施しています(図5-9)。PKPでは、患者さんの角膜全層を移植片と取りかえます。DSAEKでは、内皮細胞とデスメ膜と薄い実質から成る移植片を患者さんの角膜の内側に移植します。DMEKでは、内皮細胞とデスメ膜から成る移植片を患者さんの角膜の内側に移植します。手術方法によって利点・欠点があり、患者さんの眼の状態に合わせて、どの手術方法を行うかを決定します。詳しくは担当医にお尋ねください。 当院では、手術に使用する移植片をアメリカから輸入しているため、患者さんのスケジュールに合わせて手術を予定することが可能です。
-
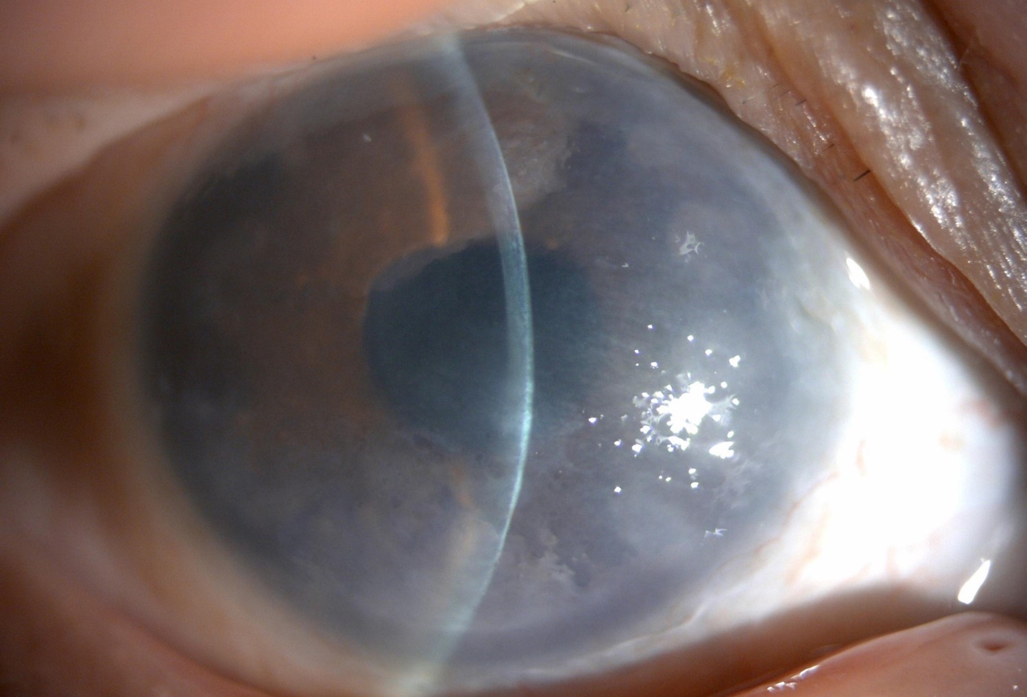
全層角膜移植術(PKP)
患者さんの角膜全層を円形にくりぬき、同部位に移植片を縫合します。
図5
-
角膜内皮移植術(DSAEK)
円形の薄い移植片が、患者さんの角膜の中央に内側から接着しています。
図6
図7
-
デスメ膜内皮移植術(DMEK)
非常に薄い移植片を移植するため、術後は患者さんの角膜と移植片との境界が一見してわかりません。
図8
図9
感染性角膜炎
- 1. はじめに
- 角膜に微生物(細菌、ウイルス、真菌、寄生虫)が感染すると、感染性角膜炎を発症します(図10-13)。病変部の角膜は混濁し、融解
して潰瘍が形成されます。重症の場合は、角膜に穴が開いたり(角膜穿孔
)、眼球が虚脱して(眼球勞
)、失明することがあります。
高齢者、コンタクトレンズ装用者(とくに、装用スケジュールを守っていない方、ケアが不十分な方)、眼表面の疾患をもっている方、外傷歴のある方等は、感染性角膜炎を発症するリスクがあります。
図10 細菌性角膜炎
図11 真菌性角膜炎
図12 ヘルペス性角膜炎
図13 アカントアメーバ角膜炎
- 2. 症状
- 充血、眼脂、異物感、眼痛、視力低下などが起こります。角膜中央に近い病変ほど視力低下が強く起こり、治癒後も元通りの視力に戻らない可能性が高くなります。
- 3. 微生物学的検査
- どの微生物が感染しているかを知るために、角膜を擦過して感染巣の組織を採取し、検鏡、培養、PCRなどを行います。
- 4. 治療
- 抗微生物薬の点眼薬や眼軟膏を主体とした薬物治療を行います。感染している微生物が薬剤に耐性をもつ細菌(耐性菌)である場合や、真菌や寄生虫である場合は、一般的な抗微生物薬では効果が得られない可能性が高いため、当院では、必要時には、自家調整点眼薬(点眼以外の用途で販売されている薬剤を、点眼薬として使用できるように調整したもの)を使用します。薬物治療を行っても病状が進行する場合、角膜穿孔を起こした場合、治癒後に瘢痕混濁
が残り視力が低下している場合(図14-16)は、角膜移植術を行います。