文字サイズ
T
T
ページの先頭です。

病名検索

てんかんの治療

西日本有数の手術実績

てんかんとは?

 てんかんとは、脳の神経細胞が異常に興奮し、それが広がって、さまざまな神経症状を引き起こす「(てんかん)発作」を反復するものとされています。特に、脳の一部分が異常活動し、これが引き金となって、てんかん発作が起こる場合、その部分を「てんかん焦点」と呼びます。
 神経細胞の興奮の結果、脳の機能が障害され、体の強直やけいれん、脱力、異常感覚、記憶障害などとともに発作が広がると、もうろう状態になり、意識を失います。発作はおおむね数秒から数分続き、発作後の症状が残ることもありますが、回復すると平常通りの生活に戻ることができます。
 てんかん発作が抑えられず、慢性化すると、脳の機能障害が起きます。特に、小児のてんかんは脳の発達に重大な影響を及ぼし、3分の1の患者さんに精神・発育・学習の遅れが生じ、重度の場合には脳機能が低下し、発達が見込めなくなります。成人でも記憶障害、認知障害、精神障害、運動障害といった神経症状を伴うことがあり、発作だけでなくこれらの脳機能障害のため、就労に支障をきたすことが問題となっています。
 てんかんは最も頻度が高い神経疾患の1つで、生涯を通じて1回でも発作を経験する人は人口の約10%、2回以上は人口の約4%と言われています。頻繁に発作が起き、「てんかん」と診断される患者さんは約1%です。従って、国内で約100万人のてんかん患者さんがいることになります。

てんかんの薬物治療と難治てんかん

 てんかん治療の原則は、抗てんかん薬による薬物治療です。発作型、あるいは病態に応じた薬があり、正しい診断に基づいた最適な抗てんかん薬による治療を受けることが大切です。
 しかし、薬物治療を尽くしてもてんかん発作が続くときは「難治てんかん」と診断します。一般的には2種類以上の抗てんかん薬を2年間以上試みた後も発作が続く場合をいいます。てんかん患者さんの60%は薬物治療で発作が消失し、20%程度は発作が4分の1以下に減少します。
 従って、薬物治療を受けるてんかん患者さんの約20%が難治てんかんとなります。発作によって日常生活への支障が大きい場合は、外科治療を検討した方がよいでしょう。最近の手術成績は非常に良好で、難治性てんかんの10~20%は手術が有効と考えられています。特に小児では、精神・身体発達遅滞を避けるため、手術で治るてんかんかどうか、見定める必要があります。
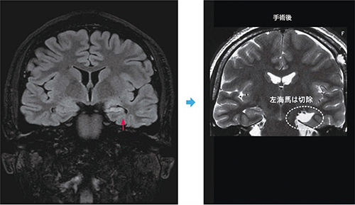
 また「内側側頭葉てんかん」など難治てんかんの種類によっては、手術が奏功することが知られており、このような場合は、薬物療法にこだわって時期を逸することなく、手術治療を行うことをお勧めします(画像)。

画像 症例に提示した患者さんの頭部MRI-FLAIR画像冠状断:左海馬硬化症を認める(左↑)。画像で左海馬部分は対側に比べ小さめで色調が違います。手術後、同じ部分は摘出しました(右)

てんかん外科治療と、その優れた効果

 てんかんは、それだけでは直接生命にかかわることはまれです。しかし、難治てんかんは、特に乳幼児や小児では重度の精神発育遅滞をきたし、人生に与える影響は計り知れません。成人でも就労や運転、妊娠など社会生活において、さまざまな制限が生じ、QOL(Quality(クオリティ)of(オブ)Life(ライフ):生活の質)が損なわれます。薬の副作用や定期的に服用することの煩わしさも問題点です。
 近年、頭蓋内(ずがいない)電極法や脳磁図(MEG)など、診断方法も治療技術も飛躍的な進歩によって、外科治療の効果と安全性が向上し、有力なてんかん治療手段として認識されてきています。
 手術が勧められるかどうかは、単に手術によっててんかん発作を抑制できるかどうかだけでなく、手術による脳機能障害や合併症、手術をしない場合の予想される経過、薬の副作用、さらに患者さんがおかれている社会的背景などを総合的に判断し、手術治療の利益が薬物治療、あるいは手術の合併症の不利益を上回ることが予想される場合に限られます。特に小児の場合、発達や脳の可塑性(かそせい)(脳が元にもどる力)が重要です。
 例えば、大脳半球切除術後でも、正常な精神運動発達が得られるならば、障害をきたすような手術でも、早期に発作を抑制できれば脳機能を再生させ、手術による損失を埋め合わせることができるという可能性を示しています。
 手術治療が有効なてんかんとして、内側側頭葉てんかん、皮質形成異常、脳腫瘍(のうしゅよう)脳萎縮(のういしゅく)瘢痕(はんこん)、片側脳形成不全(片側巨脳症(へんそくきょのうしょう))、スタージ・ウエーバー症候群、結節性硬化症、ラスムッセン脳炎、強直発作、脱力発作、間代発作、強直間代発作など突然転倒して重度の外傷や事故をきたす危険な転倒する発作(矢立発作)などが挙げられています。
 手術法はてんかんの源(てんかん焦点)を取ってしまう「切除外科」と、神経繊維を切っててんかんが広がらないようにする「遮断外科」に分かれます。代表的な手術術式は、皮質焦点切除術/病巣切除術、側頭葉切除術、MST(軟膜下皮質多切術)、脳梁(のうりょう)離断術(図1)、大脳半球離断術があります。手術による合併症を防ぎ、最大の効果を得るため、それぞれの方法を単独、あるいは組み合せて治療します。
 また、近年、迷走神経刺激療法(VNS)が承認され、開頭手術が無理な患者さんでも発作を半分くらいに緩和することが可能となりました。VNSは頭の手術でなく、電気刺激発生装置(ジェネレーター)を胸部に埋め込み、そこからリード線を延ばして頸部(けいぶ)の迷走神経に巻き付けます(図2)。迷走神経は脳の深部を活性化する働きがあり「脳のペースメーカー」ともいわれています。この治療は当院では対応可能ですが、対応できる施設は限定されています。
 正しい診断のもとで行われた手術は非常に優れており、およそ70%の患者さんで発作が消失、あるいは激減しています。特に、内側側頭葉てんかんでは約70%の患者さんで発作が消失し、後の患者さんも発作が激減しています。
 当科は難治てんかん患者さんを対象に、幅広くてんかん外科治療を行っています。てんかん外科に関しては西日本で屈指の手術実績を持っています。難治てんかんで、手術治療を考える場合、かかりつけ主治医からの診療データ(紹介状、MRI、脳波など)とともに、患者支援センターを通して外来予約してもらうシステムをご案内しています。

  • 図1 脳梁は脳室の天井を走る左右の大脳半球をつなぐ大きな神経繊維の束です。(↓)脳梁離断術は、その部分を切断することで、左右同期性てんかん波が遮断され、てんかんを防ぐことになります
  • 図2 VNS手術の模式図
    電気刺激発生装置(ジェネレーター)を胸部に埋め込み、そこからリード線を延ばして頸部の迷走神経に巻き付けます。迷走神経は脳の深部を活性化する働きがあり「脳のペースメーカー」ともいわれています

関連リンク

「てんかん」の手術について詳しく知りたい方はこちら
機能的脳神経外科疾患「てんかん」

診療科案内

受診について

病名検索